In the field of dental prosthetics, the All on 6 implant system is a rapidly emerging and innovative solution, designed to address complete tooth loss. By utilising six strategically positioned implants to anchor a full arch prosthesis, the system offers increased stability and functionality compared to conventional dentures. However, while these implants undeniably offer a host of benefits, including enhanced aesthetics and immediate load capacity, the costs, surgical risks, and patient eligibility requirements are aspects that warrant careful scrutiny. As we explore this topic further, we will critically evaluate these factors, offering a thorough understanding for potential patients and practitioners alike.
Understanding ‘All on 6 Implants’
While it may initially seem complex, understanding ‘All on 6 Implants’ is essential to making informed decisions about dental health. This dental procedure involves replacing missing teeth with a thorough, fixed prosthesis supported by six implants. Different implant types are utilized, depending on the condition of the patient’s jawbone, their oral health, and specific prosthetic needs. It’s significant to recognize that not everyone is eligible for ‘All on 6 Implants’. Patient eligibility primarily hinges on sufficient bone quantity and quality to properly support the implants. Age, health status, and lifestyle habits are also considered. Recognizing the types of implants and understanding patient eligibility criteria are vital in comprehending this advanced dental procedure. This knowledge aids in steering the path to improved dental health.
Components of the Procedure
To fully comprehend the ‘All on 6 Implants’ procedure, it is essential to break down its key components. We will first consider the specifics of the procedure, followed by an overview of the surgical process. Finally, we will provide insights into the important aspect of post-operative care, ensuring the longevity and success of the implants.
Understanding the Procedure
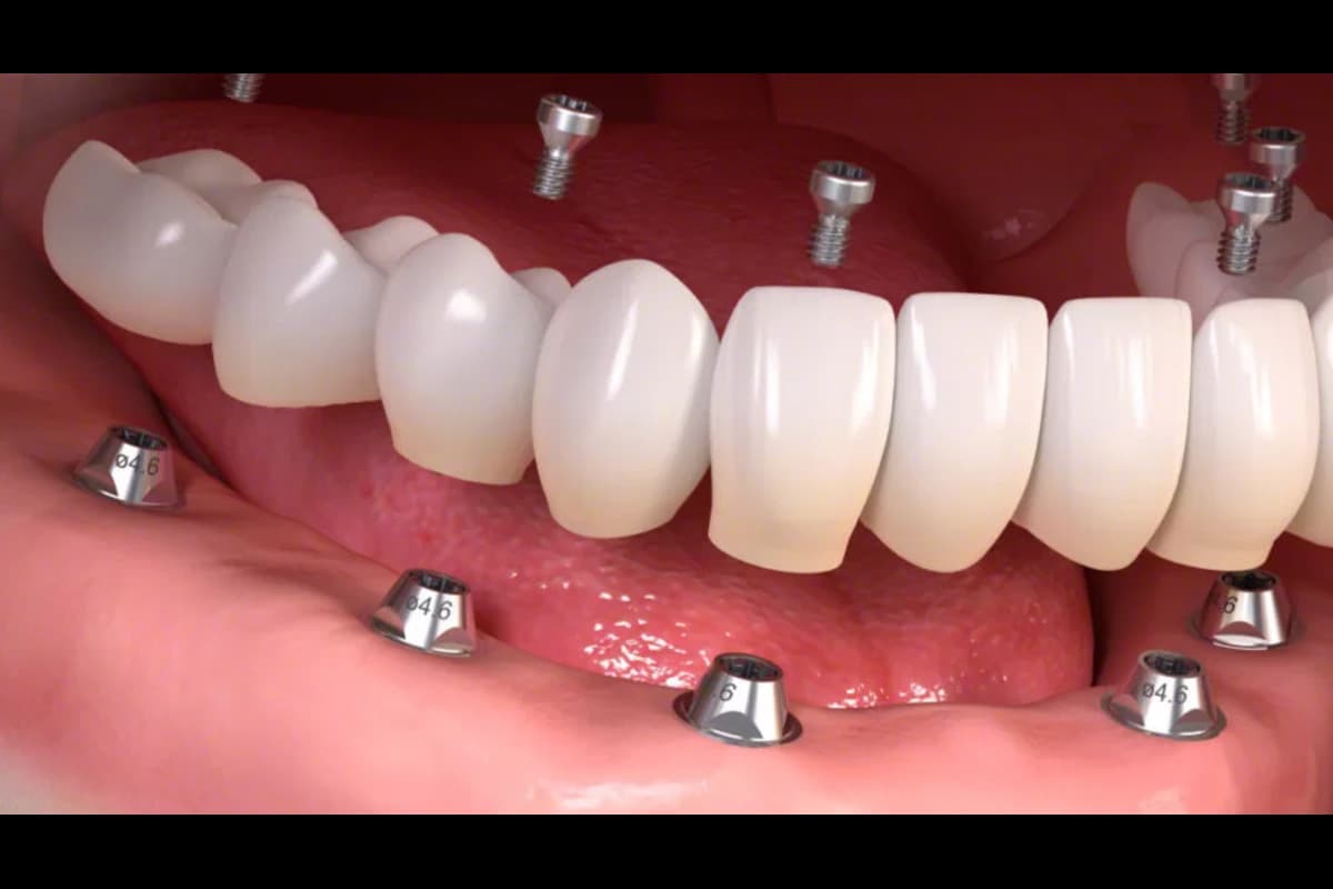
In the domain of dental surgery, the All on 6 implants procedure is both intricate and multifaceted. Advanced implant technology is at the core of this procedure, designed to maximize the patient experience by providing a durable and aesthetically pleasing solution to tooth loss. This technique capitalizes on the denser bone available in the front part of the jaw, placing six implants as the foundation for a full-arch prosthesis. The procedure integrates science and artistry, creating a seamless blend of functionality and appearance. The All on 6 implants procedure is a demonstration of the dental industry’s commitment to leveraging cutting edge technology to enhance patient comfort, satisfaction, and overall oral health.
Surgical Process Overview
The patient’s journey through the All on 6 implants procedure begins with meticulous preoperative planning. This entails a thorough medical examination and the utilization of advanced imaging techniques to assess the patient’s oral structure.
The surgical process involves:
- Administration of anesthesia to guarantee patient comfort throughout the procedure.
- Utilization of precise surgical techniques to place six implants in the upper or lower jaw.
- Implant materials, often titanium, are inserted into the jawbone, acting as artificial tooth roots.
- The placement of a provisional prosthesis on the same day, allowing immediate function.
This process provides a solid foundation for the final prosthesis, securing ideal aesthetic and functional results. The expertise of the surgical team plays a significant role in the success of the All on 6 implants procedure.
Post-Procedure Care Tips
Following the successful completion of the All on 6 implants procedure, proper postoperative care is essential to guarantee ideal healing and treatment outcomes. The post operative instructions include maintaining oral hygiene by gentle cleaning around the implant sites. Additionally, patients must adhere to prescribed medications to manage discomfort and prevent infection. A soft diet is also recommended initially to facilitate healing.
The recovery timeline varies from patient to patient depending on individual healing capacities and adherence to postoperative instructions. Typically, initial healing takes about two to six weeks, during which patients might experience mild swelling and discomfort. Regular follow-ups are vital in this period for the dentist to monitor progress and address any complications promptly. Full recovery and integration of implants may take several months.

Pros and Cons of ‘All on 6’
As we examine the ‘All on 6’ dental implant procedure, it is critical to evaluate both the potential benefits and drawbacks. The advantages of this procedure can be numerous, offering patients thorough solutions to extensive tooth loss. However, it is equally important to take into account possible limitations or risks associated with ‘All on 6’ to guarantee a well-rounded understanding.
Understanding ‘All on 6’
Although it may appear intimidating, understanding the concept of ‘All on 6’ implants is essential when considering thorough dental restoration.
- ‘All on 6’ is one of several treatment options that involves placing six implants in the jaw to support a full arch of teeth.
- This method offers a stable and durable solution, addressing both functional and aesthetic aspects of dental health.
- By providing a fixed prosthesis, ‘All on 6’ can eliminate the need for removable dentures.
- However, it is crucial to recognize this procedure may not be suitable for everyone, as it requires sufficient bone density and overall good oral health.
Benefits of ‘All on 6’
While the ‘All on 6’ dental implant method may not be suitable for everyone, it offers numerous advantages that make it an attractive option for many. One of the key benefits is the potential for improved oral functionality, enabling patients to eat and speak with greater ease. Patient testimonials often highlight the increased confidence and quality of life that comes with this treatment. The ‘All on 6’ method also provides a permanent solution for missing teeth, promising positive long term outcomes. Furthermore, its durability and stability are frequently praised, reducing the need for frequent adjustments. Fundamentally, the ‘All on 6’ method could be a transformative dental solution, providing both physical and psychological benefits.
Potential Drawbacks of ‘All on 6’
Despite the many benefits of the ‘All on 6’ method, it’s essential to contemplate potential drawbacks as well when weighing the pros and cons.
- Implant Longevity: While ‘All on 6’ implants are designed for durability, they may not last a lifetime. Factors like oral hygiene, dietary habits, and overall health can affect longevity.
- Cost: ‘All on 6’ implants can be expensive. While they may be a cost-effective solution in the long term, the initial outlay can be prohibitive for some patients.
- Surgical Risks: As with any surgical procedure, there are potential risks including infection, nerve damage, and implant failure.
- Patient Satisfaction: Despite high success rates, some patients may not be fully satisfied with the aesthetic or functional outcome of their implants, impacting overall satisfaction.
Comparing ‘All on 6’ With Other Implants
A myriad of dental implant options exist today, each with their distinctive advantages and drawbacks. ‘All on 6’ implants offer a robust foundation for the prosthetic teeth, thanks to their six implants per arch. When comparing this to other implant types, it’s clear that ‘All on 6’ provides superior stability and durability. In a treatment comparison, they outperform ‘All on 4’ implants which use only four posts and may not provide ideal support for patients with greater bone loss. Conversely, individual implants, while offering excellent stability, involve a more complex procedure and longer recovery period. ‘All on 6’, consequently, strikes a balance between stability and procedure simplicity, making it a viable option for many patients requiring full-arch rehabilitation.
Cost Breakdown for ‘All on 6’
Investing in ‘All on 6’ dental implants is a significant financial decision that requires a clear understanding of the associated costs.
- Implant Surgery: The primary cost involves the surgical placement of the implants. Skilled oral surgeons perform this procedure, and their fees are a considerable part of the total cost.
- Prosthesis: The cost of the dental prosthesis, which includes the fabrication of the teeth, is also substantial.
- Financing Options: Many dental clinics provide different financing options to make the procedure more affordable, which may impact the overall cost.
- Insurance Coverage: Some insurance plans may cover a portion of the cost, further reducing out-of-pocket expenses.
Understanding these cost components can help patients make informed decisions about ‘All on 6’ implants.
Aftercare and Maintenance Tips
While understanding the cost breakdown of ‘All on 6’ implants is an important factor in decision making, it is equally imperative to focus on the aftercare and maintenance of these dental prosthetics. Proper aftercare routines and the use of suitable maintenance products can greatly prolong the lifespan of your implants. Regular brushing and flossing are essential, along with routine dental check-ups. Special interdental brushes and water flossers are effective maintenance products that can help clean difficult-to-reach areas. In addition, avoid consuming hard or sticky foods that may dislodge your implants. Overlooking aftercare could lead to plaque accumulation, causing gum diseases and implant failure. As a result, adhering to aftercare guidelines is vital for maintaining your ‘All on 6’ implants.
Frequently Asked Questions
What Are the Potential Risks or Complications of ‘All on 6’ Implants?
Potential risks for this procedure may include implant failure due to insufficient bone support or poor oral hygiene. Infection risks are also present, particularly if post-operative care guidelines are not strictly adhered to by the patient.
How Long Does the ‘All on 6’ Implant Procedure Typically Take?
The duration of an implant procedure varies depending on individual cases. However, the implant timeline typically ranges from 2.5 to 3.5 hours per arch, allowing time for meticulous placement and immediate provisional restoration.
Can Someone With Gum Disease or Other Oral Health Issues Get ‘All on 6’ Implants?
Individuals with gum disease or other oral health issues must have these conditions effectively managed or treated prior to implant placement. Uncontrolled oral health issues can compromise the success of implant procedures, including the ‘all on 6’.
Is the ‘All on 6’ Procedure Covered by Dental Insurance?
Insurance coverage for dental procedures varies widely, depending on the individual policy. Inclusion of specific treatments like the ‘all on 6’ procedure is subject to the insurance provider’s discretion, considering cost factors and nature of treatment.
How Often Will I Need to Replace My ‘All on 6’ Implants?
The longevity of dental implants largely depends on individual maintenance and oral health. With proper care, they can last for many years, possibly a lifetime. Regular dental check-ups are essential to guarantee their long-term functionality and health.


